| 診療時間 | 月 | 火 | 水 | 木 | 金 | 土 | 日 |
|---|---|---|---|---|---|---|---|
| 10:00~13:30 | ● | ● | / | ● | ● | ● | ○ |
| 15:00~18:00※火・木は19時まで | ● | ◉ | / | ◉ | ● | ● | ○ |
初診
主訴の応急処置計画
立案のための資料採取
治療計画立案
治療計画説明(提案)
治療開始
上の奥歯を支える骨が少ない場合の処置や、骨の厚みが足りない場合の処置など、様々な方法での処置が可能です。
3次元的に骨格形態を診査、コンピュータで解析し、最終補綴物を製作するまでの診療システムを使用した治療を行なっております。
専門の歯科医師、歯科技工士、カウンセラー、歯科衛生士が常駐してチーム医療を実践しています。様々なお悩みに対応可能です。
透明なマウスピースで、歯並びを綺麗にします。歯並びが悪い、出っ歯、受口などに対応しています。
見た目の綺麗さ、審美性や機能性などから銀歯を使わないメタルフリー治療を積極的に行っています。
天然歯のルールに基づいた顎・口腔機能に調和した無理のない咬合、シーケンシャル咬合の理論をもとに顎関節症治療を行っています。
長年の経験と実績をもってつくる、
高機能なオーダーメイド入れ歯
海外のインプラント実績を経て日本の
インプラント治療に向き合う

顎・口腔機能に調和した無理のない咬合を考慮し、
顎関節症を科学的に治療

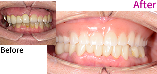
※症例は各先生方の症例です。

「患者様とのコミュニケーションを第一に、患者様にとって最善の治療を考え、気持ちを添えて患者様とともに診療を行う」という診療理念のもと、微力ながらも地域の皆様の健康に少しでも貢献できる様、専門性の高い歯科診療を提供させていただいております。
院長・スタッフ全員が、患者様のお悩みを解決するだけではなくQOL(生活の質)の向上も考え、患者様のご希望を叶えられるような診療体制を整えておりますので、歯についてお悩みの方は、ぜひ一度、お気軽にご相談ください。
| 医院名 | 医療法人社団 愛優会 はるみ歯科 ~ HARUMI DENTAL OFFICE ~ |
|---|---|
| 所在地 | 仙台市若林区土樋287-5 シェナンド土樋2階 ※ビル1階に駐車場がございます。 ※エレベーターで2階へお越しください。 |
| 駐車場 | 建物の1階はすべて当院の駐車場となっております。 ※隣接のシステムパークと提携しておりますので、満車の場合はそちらをご利用ください。 |
| 最寄駅 | 地下鉄南北線 愛宕橋駅 地下鉄南北線 河原町駅 |




